Tuberculosis Respiratoria: México Enfrenta Repunte Alarmante en 2026 con 1,289 Casos

Publicado el

México alerta por el disparo de casos de tuberculosis respiratoria, superando los 1,289 contagios. Conoce los síntomas, prevención y la importancia del tratamiento en esta creciente amenaza sanitaria.

México se enfrenta a una creciente preocupación de salud pública con el alarmante repunte de casos de tuberculosis respiratoria en lo que va de 2026, consolidando una "amenaza silenciosa" que exige la máxima atención de las autoridades sanitarias y la población. La nación ha superado los 1,289 casos confirmados hasta la fecha, una cifra que representa un incremento sostenido en comparación con los 1,151 casos registrados en el mismo periodo del año anterior, 2025. Este aumento se ha manifestado de forma notoria, con 334 nuevos contagios reportados tan solo en la última semana de enero de 2026, específicamente entre el 25 y el 31 de ese mes. La situación es particularmente preocupante porque, mientras gran parte de la atención sanitaria se ha volcado en el brote de sarampión, la tuberculosis respiratoria avanza de manera constante, afectando a diversas entidades federativas, entre ellas Jalisco.

Los datos oficiales, emanados de la Secretaría de Salud federal y sus boletines epidemiológicos, dibujan un panorama de distribución heterogénea de la enfermedad a lo largo del territorio nacional. Diez estados concentran la mayor parte de los contagios acumulados en lo que va de 2026. Veracruz encabeza esta lista con 135 casos, seguido de cerca por Baja California con 125 y Nuevo León con 115 contagios. Otras entidades con una incidencia significativa incluyen a Chiapas, que ha reportado 106 casos, y Tamaulipas con 80. Sonora registra 59 casos, Tabasco 56, y Jalisco, el estado que forma parte de esta alerta sanitaria, suma 54 casos confirmados, ubicándose como la octava entidad con mayor número de contagios acumulados. Guerrero y Chihuahua cierran el top diez con 51 y 47 casos respectivamente. Esta concentración de casos en un número limitado de estados subraya la necesidad de estrategias de salud pública focalizadas y adaptadas a las realidades regionales.

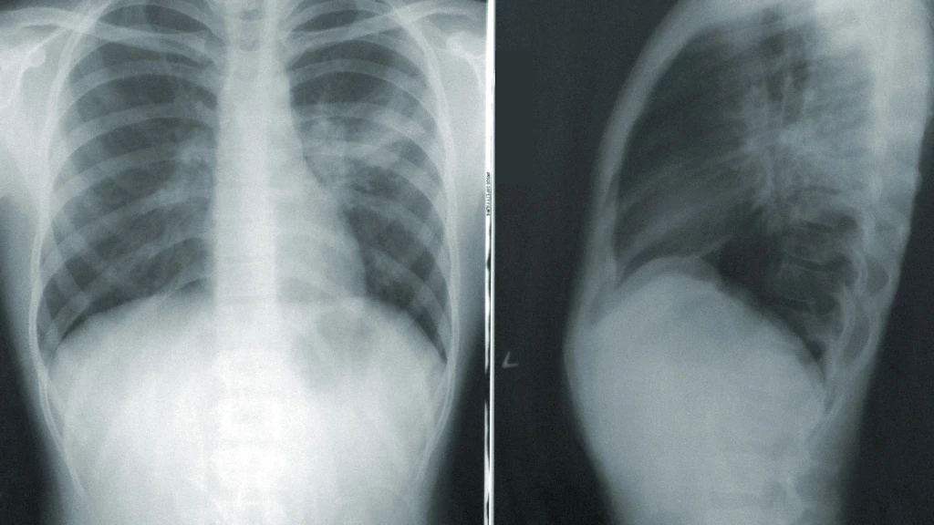
La tuberculosis respiratoria es una enfermedad infecciosa causada por la bacteria Mycobacterium tuberculosis. Su transmisión se produce por el aire, cuando una persona enferma de tuberculosis pulmonar tose, estornuda o escupe, liberando pequeñas gotas que contienen la bacteria. Esta característica facilita su propagación en entornos de cercanía y, en particular, en áreas con alta densidad poblacional, movilidad constante y condiciones de desigualdad social que pueden propiciar el hacinamiento. Aunque puede afectar a diversos órganos, la forma pulmonar o respiratoria es la más común y la principal vía de contagio.

Los síntomas de la tuberculosis respiratoria pueden ser insidiosos y a menudo se confunden con los de otras afecciones respiratorias comunes, lo que puede retrasar el diagnóstico y el inicio del tratamiento. Entre los signos de alerta se encuentran una tos persistente que puede ir acompañada de flema o incluso sangre, fiebre, una inexplicable pérdida de peso, fatiga generalizada y sudoración nocturna excesiva. Ante la presencia de una tos que persista por más de dos semanas, las autoridades sanitarias enfatizan la importancia de acudir a una unidad médica para una revisión oportuna.

El tratamiento de la tuberculosis es fundamental para la recuperación del paciente y para cortar la cadena de transmisión. Consiste en la administración de un régimen de antibióticos durante al menos seis meses. Es crucial que los pacientes completen el tratamiento en su totalidad, ya que suspenderlo de forma prematura puede llevar al desarrollo de resistencia bacteriana, complicando significativamente la recuperación y haciendo la enfermedad más difícil de tratar. Para prevenir nuevos casos, se recomienda que las personas que conviven con pacientes diagnosticados se sometan a un "Estudio de Contactos" en su unidad médica. Esto permite descartar posibles contagios y asegurar que reciban atención médica y tratamiento oportuno en caso de ser necesario, contribuyendo así a la contención de la enfermedad en la comunidad. La vacuna BCG (Bacilo de Calmette-Guérin) ofrece protección contra las formas graves de tuberculosis, como la meníngea y la miliar, y está disponible de forma gratuita en centros de salud e instituciones públicas, a pesar de reportes previos de desabasto.

El repunte de la tuberculosis respiratoria en México ocurre en un momento en que el sistema de salud ya está bajo presión debido a un brote de sarampión. Mientras el sarampión ha generado alertas y, en algunas entidades como Jalisco, ha llevado a la implementación obligatoria del uso de cubrebocas en escuelas, la tuberculosis se posiciona como una "amenaza de salud silenciosa" que avanza con menos visibilidad pero con igual seriedad. La coexistencia de estos dos desafíos subraya la complejidad del panorama epidemiológico actual en el país y la necesidad de mantener una vigilancia activa y programas de prevención y control robustos para ambas enfermedades. La conciencia pública sobre los síntomas, la importancia del diagnóstico temprano y la adherencia al tratamiento son pilares esenciales para enfrentar este desafío de salud pública y proteger a la población mexicana.

Salud, Tuberculosis Respiratoria México, Alerta Sanitaria 2026, Casos Tuberculosis Jalisco, Aumento Contagios México, Salud Pública México,